CLEFT LIP AND PALATE
Cleft Lip And Palate
A cleft lip and palate is a most common congenital abnormality of the face, where a baby is born with an opening or gap in the upper lip and/or the roof of the mouth (palate).
It can occur on one or both sides of the lip and/or palate, and the severity can vary from mild to more complex cases.
Types:
- Unilateral: A cleft lip on one side of the lip.
- Bilateral: A cleft lip on both sides of the lip.
- Incomplete: The cleft doesn’t go all the way through the lip.
- Complete: The cleft goes all the way through the lip and may extend into the
nostrils.
Causes:
The exact cause of cleft lip and palate is not always known, but it is thought to result from a combination of genetic and environmental factors, such as:
- Genetic predisposition: Family history of cleft lip and palate or other congenital conditions.
- Environmental factors: Maternal smoking, alcohol consumption, or certain medications during pregnancy.
- Nutritional deficiencies: Lack of folic acid during pregnancy has been linked to higher risk.
- Infections or other health conditions during pregnancy can also play a role.
Treatment is surgical where the lip surgery is done at the age of 3-6 months and the palate surgery between 10-12 months of age.
There are times where we have to do revision surgery later in life when the previous surgery has unsatisfactory results. Following palate surgery the child may need to undergo speech therapy to improve speech. Cleft lip and palate is not a disease the child lives a very happy and healthy life following the repair.
Unilateral cleft lip
Unilateral cleft lip is a congenital condition where one side of the upper lip does not fully form, creating a visible gap.
This condition can also affect the surrounding areas, such as the nose, and may cause feeding difficulties, speech challenges, and aesthetic concerns.
It is typically corrected with surgery performed in early infancy, followed by speech therapy and sometimes orthodontic care as the child grows. With early intervention, individuals with unilateral cleft lip can experience improved function and facial appearance.
Bilateral cleft lip
Bilateral cleft lip is a congenital condition where both sides of the upper lip fail to fuse properly, creating gaps on either side of the lip.
This condition is often accompanied by issues with feeding, speech, and facial appearance. Surgical correction is typically performed early in life to close the gaps, followed by additional treatments such as speech therapy and orthodontic care.
With timely intervention, individuals with bilateral cleft lip can achieve significant improvements in both function and aesthetic appearance.
Facial cleft
A facial cleft is a congenital condition where there is an opening or gap in the facial structure, which can affect the lip, palate, or other areas of the face.
These clefts occur during fetal development when the tissues of the face do not fully fuse together. Depending on the severity, facial clefts can cause challenges with feeding, speaking, hearing, and facial appearance.
Surgical repair is typically performed early in life, followed by speech therapy and orthodontic care.
With proper treatment, individuals with facial clefts can lead healthy, functional lives with improved facial appearance.
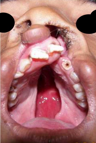
Cleft palate
A cleft palate is a congenital condition where there is an opening or gap in the roof of the mouth (palate), which can affect one or both sides of the palate.
This condition occurs when the tissues that form the palate do not fully join during fetal development. A cleft palate can lead to difficulties with feeding, speech, and hearing.
Surgical repair is typically performed early in life to close the gap, followed by speech therapy and, in some cases, dental or orthodontic treatment. With appropriate treatment, individuals with a cleft palate can achieve normal function and appearance.
Secondary Alveolar Bone Grafting
Secondary alveolar bone grafting is a surgical procedure used to repair the bone defect in the upper jaw, often in patients with cleft lip and palate.
This procedure is typically performed when the child is between 8 and 12 years old, after the eruption of permanent teeth but before the completion of facial growth. The grafting material, usually taken from the patient’s own bone or a synthetic substitute, is placed in the gap to support the development of the teeth and prevent further deformities.
This procedure helps improve dental function, speech, and overall facial appearance, enhancing long-term oral health and quality of life.





Cleft Rhinoplasty
Cleft rhinoplasty is a specialized surgical procedure aimed at correcting nasal deformities associated with cleft lip and palate.
It is typically performed in adolescence or adulthood after facial growth has stabilized. The goal is to improve both the function and appearance of the nose, addressing issues such as nostril asymmetry, cartilage abnormalities, and nasal airway obstruction.
Cleft rhinoplasty helps restore a more natural nasal contour, enhancing overall facial aesthetics and improving breathing. This surgery is often performed in combination with other reconstructive procedures to optimize both appearance and function.
Lip revision
Lip revision is a surgical procedure aimed at correcting any imperfections or scars that may remain after a cleft lip repair or other lip surgeries.
Over time, some individuals may experience changes in the appearance or functionality of their lip due to scarring, tissue distortion, or other factors. Lip revision surgery is performed to refine the lip’s shape, restore symmetry, and improve both aesthetic appearance and function, such as improving lip movement for speech and eating.
This procedure is typically performed in older children or adults to achieve long-term results and ensure a more natural and balanced appearance.






Palatal Fistula
A palatal fistula is an abnormal opening or hole that forms in the roof of the mouth (palate), usually as a result of a previous cleft palate surgery or other trauma.
This condition can lead to difficulties with speech, swallowing, and sometimes nasal regurgitation of food or liquids. Palatal fistulas can vary in size and location, and in many cases, they require surgical repair to close the opening.
Treatment is aimed at restoring normal palate function, improving speech, and enhancing overall oral health. With timely intervention, patients can achieve better functional and aesthetic outcomes.
Dr. Gagan Sabharwal's clinic: Delhi
011-45033566
Fakeeh University Hospital, Dubai
+971-44144444
Jumeirah Clinic, Dubai
+1-80037569
