DENTAL IMPLANTS
Dental Implants
A dental implant is a titanium screw that is surgically inserted into the jawbones to support dental crowns, bridges and even a denture.
Missing teeth and supporting oral tissues have traditionally been replaced with dentures or partial prostheses to restore the ability of patients to eat and speak and improve appearance. However, patients are not always satisfied with the function of removable dentures; also it is not always possible to place a fixed prosthesis like a bridge if the numbers of remaining teeth are insufficient. Since the 1970s, dental implants have offered an alternative.
Single tooth or multiple teeth can be replaced using a dental implant; conventional dentures can be converted from tissue support prosthesis to implant supported prosthesis leading to increased stability and function.
Implants can now be placed immediately following extraction of an unhealthy tooth, thereby preventing a second surgical procedure and early rehabilitation of the tooth.
Conventional Implants
Dental implants are artificial tooth roots that are surgically placed into the jawbone to replace missing tooth or teeth.
They are typically made of titanium or a titanium alloy, which fuses with the bone over time in a process called osseointegration, providing a stable and durable foundation for replacement teeth, such as crowns, bridges, or dentures.
They are the best way to replace missing teeth, replacing the old concept of dental bridges which damages the adjacent teeth to replace a tooth or teeth.








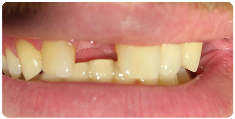
Immediate implants
Immediately after the extraction of a damaged or decayed tooth.
This approach eliminates the need for a waiting period between tooth extraction and implant placement, which is typically around 3-6 months.
Advantages – only one surgery for extraction and implant placement, early rehabilitation, preservation of bone as after extraction there is bone loss immediate implants act as a scaffold to prevent bone loss.
All on 4 All On 6 Implants
All on 4 or all on 6 treatment concepts is a graft less solution that provides patient with a fixed full arched prosthesis on the day of the surgery.
This treatment concept was developed to maximize the use of available remnant bone in atrophic jaws, allowing immediate function and avoiding regenerative procedures that increase the treatment costs and patient morbidity, as well as the complications inherent to these procedures
Advantage – graft less solution, immediate form and function, life changing, scientifically proven, very high success rate


3D Guided Implant Surgery
After 3D imaging the implant is placed virtually in a software and a 3D guide is fabricated.
Essentially, this guide is placed inside of your mouth at the time of your implant surgery and the implant placement is done through the guide. This guide insures exact position depth and angulation of the implant increasing the success rate of the procedure.
Advantages – painless, shorter surgery time, faster recovery, less invasive, 100% accuracy.
Zygomatic Implants
Zygomatic implants have been documented as a an alternative for the rehabilitation of the atrophic posterior maxilla with both the classical two stage and immediate loading protocols.
Zygomatic implants avoid grafting and sinus lift procedures and therefore contribute to a shorter and more comfortable treatment. Further indications for zygomatic implants include failed conventional implant placement, failed sinus augmentation or grafting procedures, rehabilitation after tumor and trauma resections.
In the atrophic posterior maxilla, in general one zygomatic implant is placed on each side of the maxilla, in combination with 2-4 conventional implants in the anterior region.
For the totally resorbed maxilla, when placement of anterior implants is not possible the concept can be expanded by inserting 2 additional zygomatic implants in a more anterior position (Quad zygoma). Zygomatic implants nowadays are usually immediately loaded with a fixed bridge.
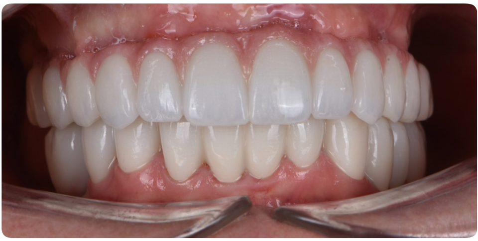
Implant Supported Bridge
An implant-supported bridge is an excellent solution for replacing multiple missing teeth without relying on natural teeth for support.
Instead of traditional bridges that require grinding down adjacent teeth, this option uses dental implants as a strong and permanent foundation.
Benefits of Implant-Supported Bridges:
- Stronger & More Stable – Provides better support and durability than traditional bridges.
- Preserves Jawbone Health – Prevents bone loss by stimulating the jawbone.
- No Damage to Natural Teeth – Adjacent teeth remain intact, unlike traditional bridges.
- Enhanced Function & Aesthetics – Restores chewing ability and a natural-looking smile.


Ideal for multiple missing teeth, implant-supported bridges offer a long-lasting and comfortable solution for restoring your smile.



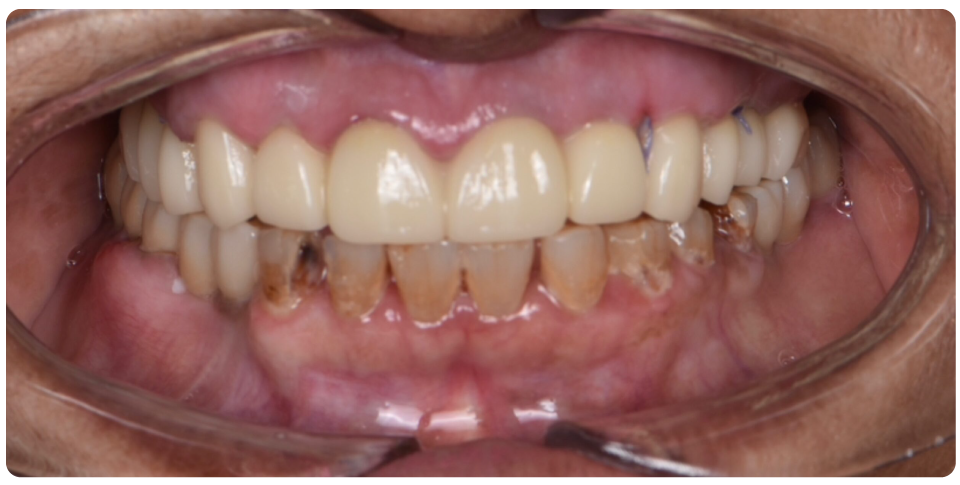
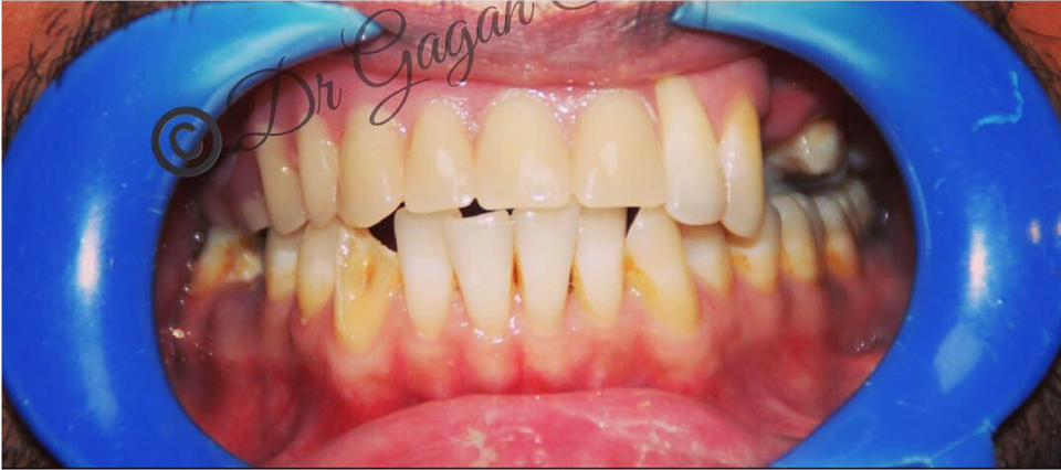
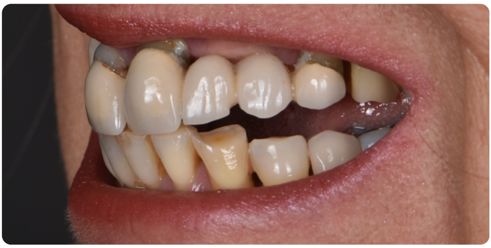
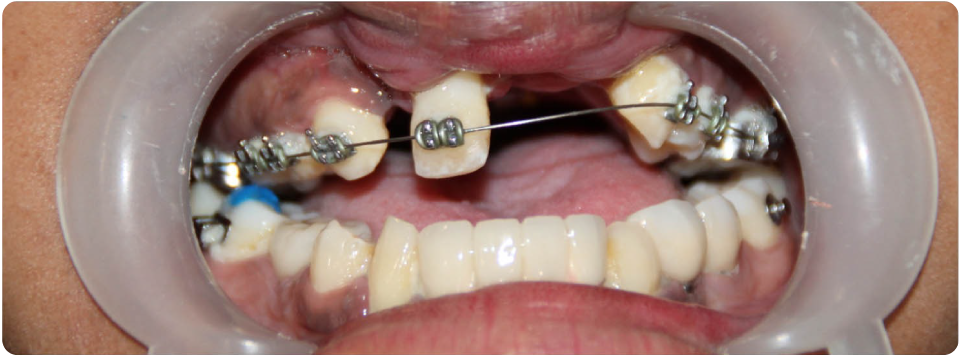
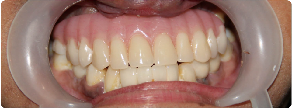
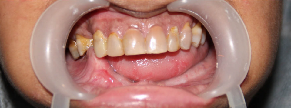
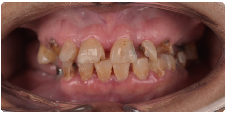
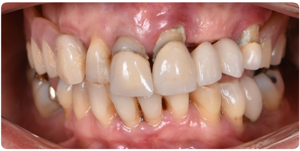
Complex Implant Rehabilitation
Complex dental implant rehabilitation is a highly effective solution for patients with extensive dental issues.
Such as severe bone loss, multiple missing teeth, cases involving tumor resection and reconstruction with vasculised bone grafts, gun shot injuries, with cleft lip and palate, jaw necrosis, post cancer oral rehabilitation.
Treatment plan includes Detailed clinical and radiographic evaluation of the patient’s general and oral health, including gum condition, remaining teeth, and bone structure with 3D scans, X-rays, and CT scans.
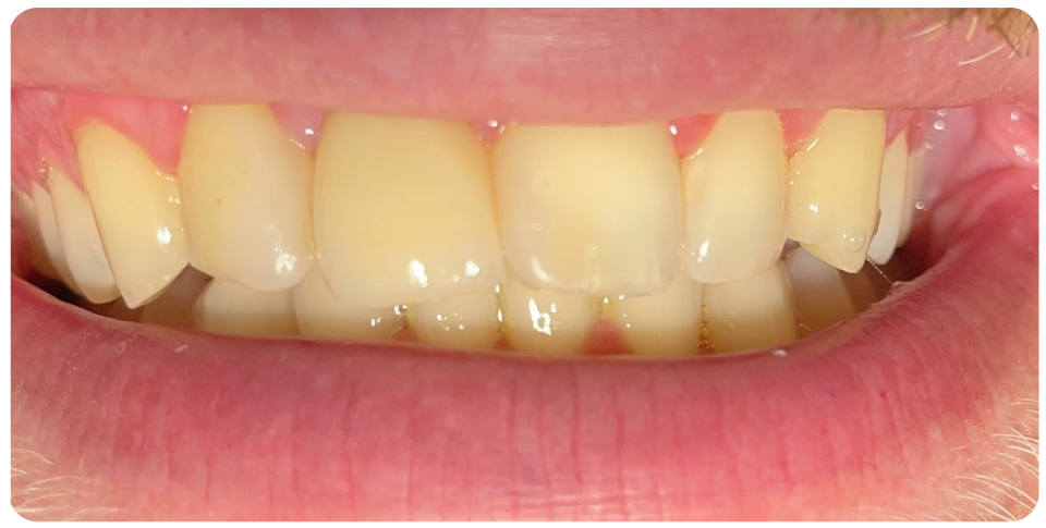
Benefits of Complex Dental Implant Rehabilitation:
- Restores form and Functionality
- Improves quality of life
- Improved Aesthetics
- Bring back lost confidence
X-Guide Dynamic 3D Navigation: Real-Time Precision for Dental Implants
Dr. Gagan Sabharwal integrates the state-of-the-art X-Guide dynamic 3D navigation system into his implant surgeries—providing real-time guidance of drill position, angle, and depth during the procedure. It’s essentially a GPS for your drill, bringing unparalleled precision and accuracy.
Benefits:
- Real-time, interactive control over implant placement.
- Enables same-day guided implant surgery without custom templates.
- Clinically proven to be up to 11× more accurate than traditional freehand methods.
- Minimally invasive workflow, enhanced safety, and faster recovery
Dr. Gagan Sabharwal's clinic: Delhi
011-45033566
Fakeeh University Hospital, Dubai
+971-44144444
Jumeirah Clinic, Dubai
+1-80037569
