WISDOM TOOTH SURGERY

Wisdom Tooth Surgery

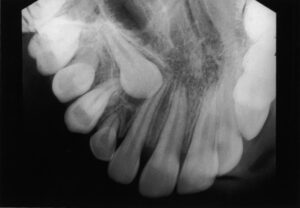
Wisdom teeth, or third molars, are the last teeth to develop and appear in your mouth. 

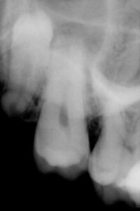
They come in between the ages of 17 and 25. When a tooth is unable to fully enter the mouth, it is said to be “impacted.” In general, impacted teeth are unable to break through the gums because there is not enough room. Nine out of ten people have at least one impacted wisdom tooth.

Wisdom teeth should be removed in the following instances:

Impacted inside the jaw
Infections and/or periodontal disease
Cavities that cannot be restored
Pathologies such as cysts, and tumors
Damage to neighboring teeth